Davant d’una menstruació dolorosa sorgeix un dubte. ¿Com saber si tens endometriosi? El diagnòstic precoç és un repte de la ginecologia actual.
L’endometriosi és una malaltia crònica que afecta 1 de cada 10 dones. Tot i ser tan freqüent, sovint està infra diagnosticada. És més, transcorrerà de mitjana 7-8 anys fins que es fa el diagnòstic I això, per què passa?
D’una banda, l’endometriosi es pot presentar en multitud de formes clíniques, amb símptomes no sols ginecològics sinó també urològics i digestius. A més, el dolor no es correlaciona amb el seu grau. Endometriosi lleus poden tenir gran dolor, per contra, grans endometriomes són asimptomàtics.
De l’altra, l’exploració clínica sovint és normal (ecografia, anàlisi, etc.).
Les proves per saber si tens endometriosi són:
Història Clínica:
Com és el dolor? Quants dies dura? Quan apareix? Impedeix les teves activitats diàries? A la teva família hi ha antecedents d’endometriosi? Tens problemes de fertilitat? Saber si fumes, el teu tipus de dieta i si has tingut fills.
Exploració ginecològica.
En procedir a la palpació, es pot observar si hi ha anormalitats. Punts dolorosos, òrgans que han perdut la mobilitat. Masses als ovaris.

exploració ginecològica
Ecografia transvaginal o transrectal.
És un examen fàcil de fer. Els casos d’endometriomes (quists de xocolata) presenten una gran sensibilitat (83%). Tanmateix, els implants peritoneals són difícils de veure. Actualment una ecografia especial pot diagnosticar una endometriosi profunda. És molt útil per localitzar les lesions i la seva extensió. D’aquesta manera, ajuda a definir l’estratègia òptima de tractament.

endometrioma en ecografia transvaginal
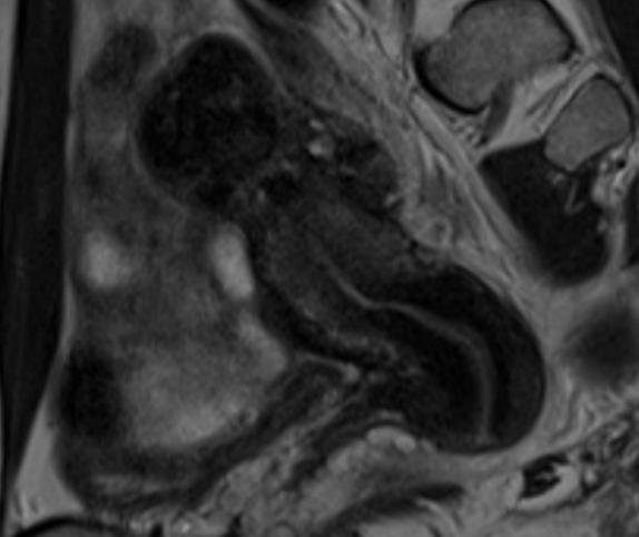
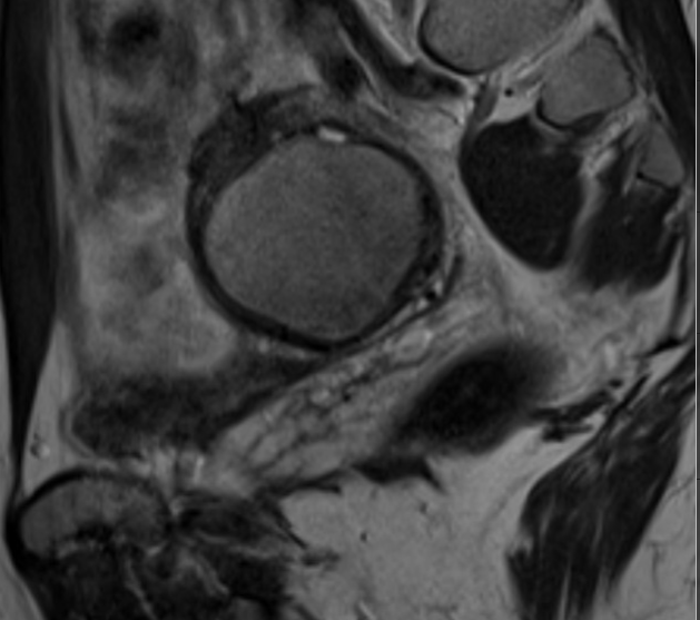
. Ressonància magnètica (RM).
És un examen que utilitza un camp magnètic i ones de ràdio per crear imatges detallades dels òrgans i teixits dins del cos. Una ressonància magnètica permet la planificació quirúrgica. Proporciona informació detallada al cirurgià sobre el lloc i la mida dels implants.
- endometriosis en Resonància
- endometrioma a la ressonància
- ressonància magnètica
Marcadors tumorals:
Ag. CA 125 l Ca-125 és una glucoproteïna trobada a la superfície de determinades cèl·lules normals i algunes neoplàsiques. La seva concentració serà 2 vegades superior al 40-50% de les dones amb endometriosi. Tot i això, l’experiència ens ha demostrat que aquest és poc sensible per a la malaltia mínima o lleu i poc específic, en general, per la seva interferència amb les neoplàsies ovàriques
Laparoscòpia.
És un procediment quirúrgic que permet veure l´interior de l´abdomen. Es realitza amb anestèsia general, a través d’una petita incisió a prop del melic i insereix un instrument de visualització prim (laparoscopi). Permet localitzar implants peritoneals o retroperitoneals, adherències o endometriomes. Així mateix, podem trobar lesions atípiques no pigmentades (hiperèmiques, vesícules, formacions exofítiques, defectes o fallades peritoneals, etc.). Es poden prendre una mostra de teixit (biòpsia) per fer analitzar. Sovint, amb una planificació quirúrgica adequada, es pot intentar reduir els implants, els endometriomes. En els casos d’endometriosi profunda, caldrà un equip compost per ginecòlegs, cirurgians i uròlegs per fer el tractament.
- laparoscopia
- endometrioma per laparoscopia
Però ¿com saber si tens endometriosi?, en els casos amb graus lleus on els implants peritoneals són petits. Si l’ecografia i la ressonància magnètica no detecten alteracions, l’única prova seria la laparoscòpia diagnòstica. Això no obstant, sabem que no podem curar l’endometriosi amb aquest procediment. Per tant, cal valorar els riscos/beneficis de passar per quiròfan.
Per finalitzar, no hi ha cap examen perfecte. És molt important acostar-nos al diagnòstic com més aviat millor i així de la teva qualitat de vida no es vegi afectada. Intentar aplicar mesures preventives i terapèutiques que millorin el dolor menstrual, la limitació al teu dia a dia. Esperant en un futur respondre de manera encertada a ¿ com saber si tens endometriosi?





Leave A Comment